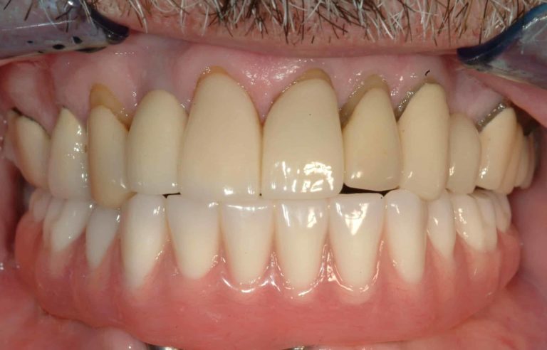
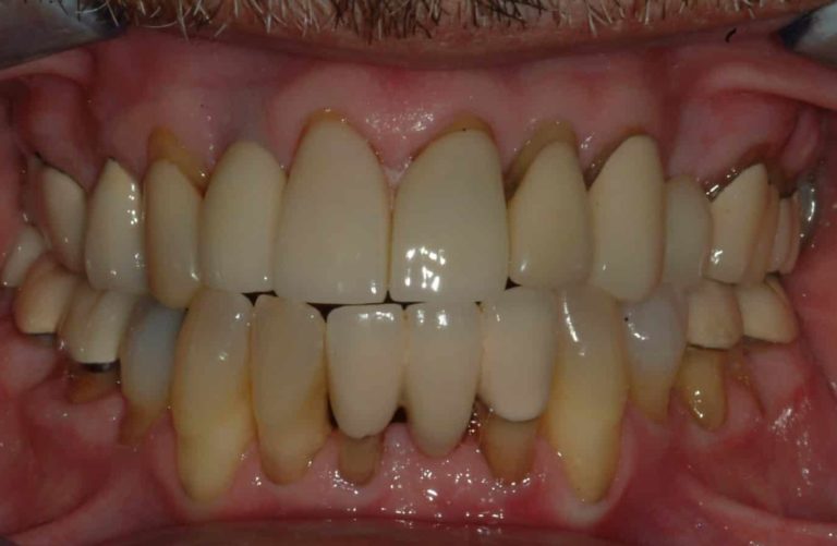
Case ID: 3587
2601 Dekalb Pike East Norriton, PA 19401
Monday 8am - 4pm Tuesday 8am - 4pm Wednesday 8am - 4pm Thursday 8am - 4pm Friday 9am - 3pm Business Office only
610-272-6949
Accessibility Toolbar