Case ID: 3583

Individual results may vary.
View Angle: front
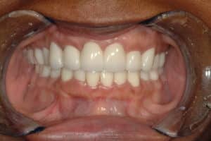
Before Image

Before

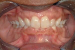
After Image

After

Other Crowns & Implants Patients

GET IN TOUCH

Contact Us Today

Call:

610-272-6949

VISIT US TODAY

Our Office Location

2601 Dekalb Pike
East Norriton, PA 19401

Office Hours

Monday 8am - 4pm
Tuesday 8am - 4pm
Wednesday 8am - 4pm
Thursday 8am - 4pm
Friday 9am - 3pm Business Office only

610-272-6949

Accessibility Toolbar

Scroll to Top